Samsun’da mide ve bağırsaklarında uyuşturucu bulunan 2 zanlı ile bu kişilere yardım eden 1 şüpheli gözaltına alındı.
Samsun Emniyet Müdürlüğü Narkotik Şube Müdürlüğü ekiplerince, kentte uyuşturucu ticareti yapanların yakalanması amacıyla çalışma yürütüldü. Bu kapsamda Samsun otogarına gelen A.A. (36) ve H.T. (44), polis ekiplerince takibe alındı. Bindikleri araç İlkadım ilçesi Kıran Mahallesi’nde durdurulan zanlıların üzerlerinde, eşyalarında ve araçta yapılan aramada uyuşturucu maddeye rastlanmadı.
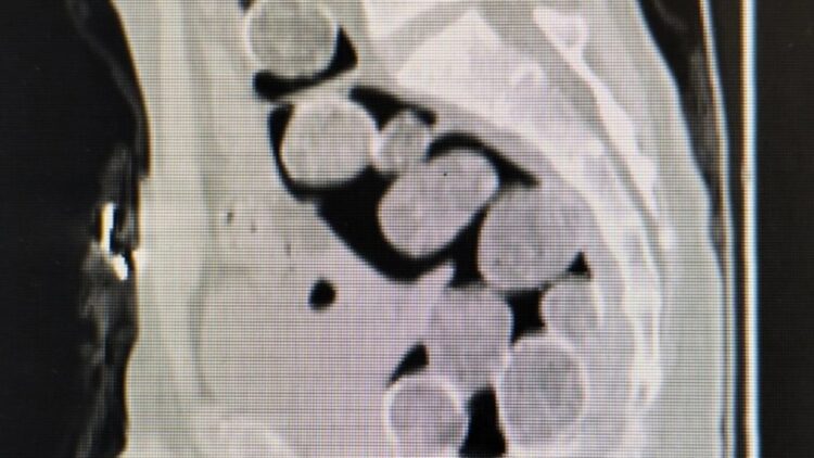
Zanlıların halsiz ve tedirgin davranışlarından şüphelenen polis, uyuşturucuyu yutmak suretiyle bağırsaklarında ve midelerinde getirebileceklerini değerlendirdi.
Samsun Eğitim ve Araştırma Hastanesi’ne götürülen şüphelilerin çekilen röntgen filminde, mide ve bağırsaklarında yabancı madde olduğu tespit edildi.
A.A. ve H.T’ye yapılan tıbbi müdahale sonucunda 18 paket halinde 500 gram sentetik uyuşturucu ele geçirildi. Gözaltına alınan şüphelilerin ikametlerinde yapılan aramada ise ruhsatsız tabanca ve 99 fişek bulundu.
A.A. ve H.T’ye yardım ve yataklık ettiği belirlenen R.K. (44) de gözaltına alındı. Şüpheliler hakkında, “uyuşturucu ticareti yapmak” suçundan adli işlem başlatıldı.












